Implantes Dentários

Implantes Dentários

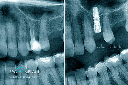
A perda de dentes pode levar a problemas estéticos, de oclusão (mordida) e perda óssea. Portanto é fundamental uma rápida reposição do elemento perdido. Os Implantes Dentários são parafusos de titânio que substituem a raiz dos dentes perdidos. O implante dental serve de apoio para a prótese (coroa) que deve ser semelhante aos dentes: naturais em estética e função. Os Implantes Dentários podem ser indicados para repor a perda de todos os dentes, de alguns ou de apenas um dente.

Em alguns casos, os implantes podem ser utilizados para suportar a prótese logo após sua instalação, num procedimento conhecido como carga imediata, por meio do qual podemos fazer reabilitações totais ou parciais.

O Implante Dentário inibe a atrofia do osso após a perda de um dente; é fixo e não há necessidade de comprometer os dentes naturais adjacentes.



FOTOS

Implantes Dentários
Implantes Dentários
Implantes Dentários
Implantes Dentários

Implantes Dentários
Implantes Dentários
Implantes Dentários
Implantes Dentários